Vedlikeholds- og behandlingsstrategier for implantatpasienter med mucositt og peri-implantitt
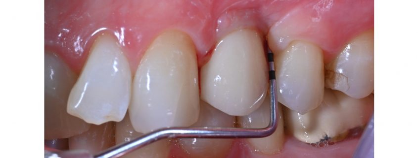
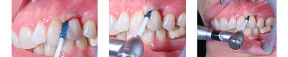
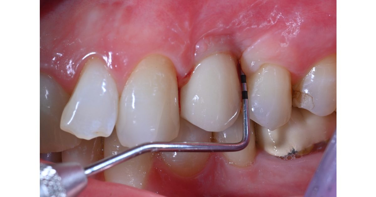
Dette webinar tar for seg vedlikeholds- og behandlingsstrategier for implantatpasienter med mucositt og peri-implantitt, med tanke på å kunne oppnå et optimalt langtidsresultat. Målet er at du som kursdeltaker skal komme tilbake til klinikken og føle deg bedre rustet til å håndtere implantatkomplikasjoner og være tryggere på hvordan du kan unngå katastrofen. Du får med deg nye verktøy i din kliniske portefølje.
Eventuelle spørsmål og spesifikke kasus kan sendes inn i forkant.
Foreleseren har mer enn 20 års erfaring med klinisk implantatbehandling og forskning og har et stort antall publikasjoner innenfor området.
Caspar Wohlfahrt
Spesialist i periodonti, ut-eksaminert fra University of Minnesota i 2004 og PhD fra UiO 2012. Han arbeider deltid som post doktor ved avd. for periodonti, UiO, og som privatpraktiserende spesialist i periodonti. Wohlfahrt disputerte i 2012 innenfor peri-implantitt. Brorparten av hans nåværende forskning handler om forebygging og behandling av peri-implantitt. Wohlfahrt er en av oppfinnerne bak Labrida BioClean™.



